
Qzone
微博
微信
作为新瑞鹏宠物医疗集团上海区转诊中心医院之一,上海瑞鹏宠物医院黄兴总院依托先进的医疗设备、专科团队丰富的临床经验,深耕专科诊疗领域十余年。瑞鹏黄兴总院始终以“守护宠物健康,值得生命信赖”为理念,聚焦专科能力建设与疑难病症攻坚。医院汇聚骨科、肿瘤科、心脏科、眼科、皮肤科、中兽医等特色专科力量,在段明慧院长、芮光泽院长、朱小根医生等专家团队的带领下,以精湛技术与专业呵护,成为万千宠物家庭信赖的健康港湾。
高阶骨科手术|重塑骨骼功能 重拾爱宠活力
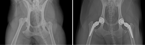
宠物骨科疾病种类繁多,小型犬易出现髌骨脱位、十字韧带损伤问题,大型犬则高发髋关节发育不良、骨关节炎等病症,这些问题不仅会给宠物带来难以忍受的疼痛,更会严重影响它们的运动功能与生活质量。黄兴总院技术院长及骨科专家,芮光泽医生深耕宠物骨科领域十余年,专注于高难度骨科手术的攻坚,尤其在宠物髋关节置换、十字韧带断裂修复、髌骨脱位矫正、复杂骨折手术等领域屡创佳绩,累计完成骨科手术上千例,为无数宠物重获行动自由,为养宠家庭注入希望与幸福。
针对不同骨科疾病,芮医生团队坚持“精准诊疗、个性化方案”原则:术前通过DR或CT影像设备明确损伤程度,制定合理的手术方案;术中在严格保护病灶周围软组织、血管及神经的前提下,精准运用骨板内固定、人工关节置换、韧带重建等专项术式,最大程度降低手术创伤;术后建立完善的院内康复理疗体系,为患宠提供科学的康复指导。
髋关节置换:近日,我院骨科专家芮医生为一只 4 岁边牧成功实施左后腿髋关节置换术。这只边牧去年曾因右后腿髋关节发育不良,在我院接受置换手术且恢复理想。今年左后腿跛行,经DR检查确诊同因髋关节发育不良,主人基于对芮光泽医生的充分信任,再次选择瑞鹏黄兴为狗狗诊疗。
芮医生团队采用威马系统为患犬进行全髋置换,成功解决患犬不能站立问题。术后第一天,狗狗便能负重行走,住院十天后顺利出院,芮医生的精湛技术不仅收获了主人的高度认可,更进一步加深了这份跨越两次诊疗的信赖。
髌骨脱位矫正:10个月大、体重2.1kg的马尔泰犬因走路跛行“小羊跳”,主人通过朋友介绍来院找到芮医生,芮医生结合患犬体型小、年龄幼的特点,与主人充分沟通商议后,为其定制了骨针固定人工韧带术的矫正方案。手术顺利完成,术后首日狗狗便能站立行走,一周后康复出院。主人看着爱宠重新灵活奔跑,对芮医生的专业诊疗赞不绝口。
芮光泽院长曾赴韩国骨科专科医院进修,完成威马双动髋关节置换、KYON 公司 TPLO 专题认证,深造于美国佛罗里达州立大学、康奈尔大学及维特国际兽医学院,精研外科、神经学等多门课程。而这些年的深耕与探索,也让他坚定了自己的诊疗初心。芮光泽院长强调:“骨科治疗的核心是恢复功能、回归生活。我们不仅要让宠物‘站得起来’,更要让它们‘走得稳健、活得开心’。”
中兽医助力术后宠物更好康复
黄兴总院中兽医专科由朱小根医生带头,深度融合传统中医精髓与现代诊疗技术,将针灸、艾灸、镭射、中药、推拿等特色疗法应用于神经外科术后康复、骨外科术后功能恢复、内科慢性病调理及日常保健中,形成独特的 “中西结合” 诊疗特色。
术后康复:在神经外科(如 IVDD 术后)和骨外科(如关节置换、韧带修复术后)领域,专科团队精准运用针灸、艾灸和镭射疗法刺激神经修复与再生,快速缓解患宠术后疼痛与肿胀,助力患宠高效恢复肢体功能。从众多临床案例来看,中兽医特色疗法在宠物术后康复诊疗中具备显著且不可替代的优势。